Teeth Whitening

What it is...
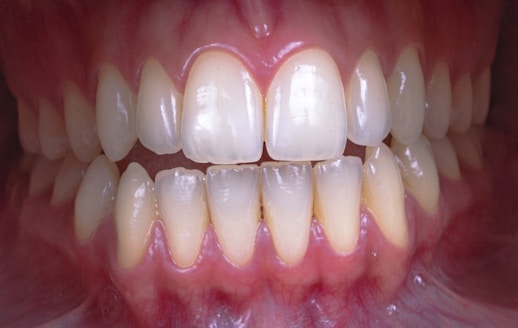
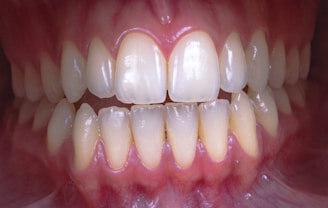
Teeth whitening is a popular treatment to revitalize the appearance of your smile, but it has also accumulated some myths and misunderstandings over time.


How do I know if I need Teeth Whitening?
Signs that you might consider teeth whitening:
Discolored Teeth: Your teeth have lost their natural shine and have a yellowish tone or superficial stains.
Consumption of Coffee, Tea or Tobacco: Frequent consumption of beverages such as coffee, tea, red wine or tobacco can contribute to the darkening of the teeth over time.
Natural Aging: Over time, it is natural for teeth to become slightly duller.
Special Events: If you are preparing for an important event such as a wedding, graduation or social gathering.
Low Confidence: If the appearance of your teeth affects your self-esteem and prevents you from smiling confidently, teeth whitening could help you regain your self-confidence.


Teeth Whitening Myths
Myth 1:
Teeth Whitening Damages Tooth Enamel
Fact: When done correctly and under the supervision of a dental professional, teeth whitening does not damage tooth enamel.
Myth 2:
Teeth Whitening is Permanent
Fact: Although teeth whitening can provide noticeable and long-lasting results, it is not a permanent treatment. Touch-ups can be done to maintain the luminosity of the smile.
Myth 3:
El Blanqueamiento Dental Doloroso
Realidad: En general, el blanqueamiento dental es un procedimiento poco o nada doloroso. Los productos de blanqueamiento modernos están diseñados para minimizar el malestar.


